L’ortodonzia, anche detta Ortognatodonzia, è una branca specialistica dell’odontoiatria che si occupa di guidare e correggere le malocclusioni, sia durante la crescita che al termine della stessa, mediante l’applicazione di forze esterne o attraverso il controllo delle forze funzionali dell’intero complesso cranio-facciale.
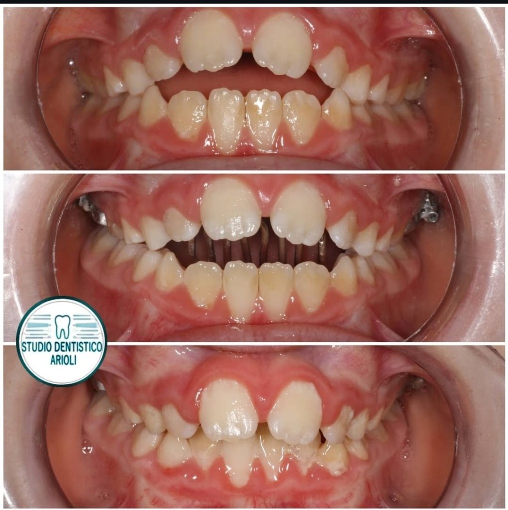
L’ortodonzista inoltre ha il compito di diagnosticare e prevenire le malocclusioni, e per questo sarebbe consigliabile una valutazione ortodontica di tutti i bambini tra i quattro e i cinque anni di età, ovvero in piena fase di dentatura decidua. La valutazione precoce ha lo scopo di individuare i problemi e di valutarne l’evoluzione: l’American Academy of Pedodontics (L’Accademia Americana di Pedodonzia) infatti promuove il monitoraggio dell’evoluzione della dentatura.
Anche in età adulta è possibile intervenire sulle malocclusioni dentali; i denti sovrapposti o affollati infatti sono difficili da pulire e mantenere e, allo stesso modo, i denti molto spaziati non proteggono la gengiva durante il naturale processo di masticazione, favorendo lesioni gengivali. Tali condizioni possono contribuire allo svilupparsi di patologie quali carie, gengiviti e perdite dentali premature.
Altri problemi ortodontici possono interferire con le normali funzioni masticatorie e indebolire il supporto dei denti nell’osso. Se non trattati, i problemi ortodontici possono peggiorare nel tempo.
Oggi la ricerca, oltre agli “apparecchi” tradizionali antiestetici e scomodi, ha messo a disposizione dispositivi ortodontici dall’estetica assolutamente accettabile, come il sistema “invisalign” (vedi il sito www.invisalign.it ) o l’ortodonzia linguale.




